Myxome de l’oreillette gauche opéré à la Clinique Universitaire de Cardiologie de Cotonou : à propos de 03 cas.
Left atrial myxoma operated at the University Clinic of Cardiology of Cotonou : a report of three cases.
L CODJO1, K BORI BATA1, R HOUEZE2, M HOUNKPONOU1, E NGUELO1, F ELEGBEDE1, P MBA1, F AGBAYI1,T EBESSA1, X FADONOUGBO1, P AGBALIKA1, F SOUMMONNI1, A SONOU1, F KOUKOUI3, M DEBAUCHEZ3
Cas Clinique . Clinical Case
RESUME
Le myxome est une tumeur de nature polypeuse à développement intra cavitaire, le plus souvent au niveau du septum inter atrial. Sa présentation clinique est variable et non spécifique. Le diagnostic est rendu facile par l’apport de l’échocardiographie. Sa prise en charge est chirurgicale. Mais les récidives et complications à long terme restent possibles. Nous rapportons l’observation de trois cas de myxome dont l’un est révélé par un accident vasculaire cérébral (AVC) ischémique et les deux autres par des symptômes cardiaques à savoir dyspnée et palpitations. L’examen cardiovasculaire avait révélé un souffle d’insuffisance mitrale chez un (01) des trois (03) cas. Le diagnostic a été posé grâce à l’échographie cardiaque transthoracique chez tous les trois patients. Concernant la localisation du myxome, elle était septale chez deux cas et valvulaire chez un cas. Le traitement radical a été l’exérèse chirurgicale chez les trois patients. En post opératoire, l’un a présenté une pneumopathie ayant favorablement évolué sous antibiothérapie, l’autre a développé une atélectasie prise en charge par oxygénothérapie et ventilation non invasive. Le 3ème patient a eu des suites simples.
MOTS CLES
Myxome cardiaque, chirurgie cardiaque, accident vasculaire cérébral, Bénin
Summary
Myxoma is a polypoid tumor with intracavitary development, most often close to the interatrial septum. Its clinical presentation is variable and non-specific. The contribution of echocardiography made the diagnosis easier. Its management is surgical. But recurrences and long-term complications remain possible. We report the observation of three cases of myxoma; one revealed by ischemic stroke and the other two by cardiac symptoms namely dyspnea and palpitations. Cardiovascular examination revealed a murmur of mitral insufficiency in one (01) of the three (03) cases. Diagnosis was made by transthoracic cardiac echography in all three cases. Regarding the localisation of myxoma, it was septal in two cases and valvular in one case. Surgical excision was the definitive treatment in all three patients.Post-operatively, one patient developed pneumopathy which treated by antibiotic therapy, while the other developed atelectasis managed with oxygen therapy and non-invasive ventilation. The third patient had a simple postoperative course.
KEY WORDS
Cardiac myxoma, cardiac surgery, cerebrovascular accident, Benin.
1. Unité d’Enseignement et Recherche en Cardiologie, Clinique Universitaire de Cardiologie, Centre National Hospitalier Universitaire Hubert KOUTOUKOU MAGA, Faculté des Sciences de la Santé de Cotonou, Université d’Abomey Calavi, Bénin.
2. Unité d’Enseignement et Recherche en Neurologie, Clinique Universitaire de Neurologie, Centre National Hospitalier Universitaire Hubert KOUTOUKOU MAGA, Faculté des Sciences de la Santé de Cotonou, Université d’Abomey Calavi, Bénin.
3. DEBMAT Santé, Paris, France.
Adresse pour correspondance
EBESSA ESSIANE Tibaud Frank
Email : This email address is being protected from spambots. You need JavaScript enabled to view it.
Téléphone : +229 58766039/+237 696643741 (WhatsApp)
INTRODUCTION
Le myxome est une tumeur de nature polypeuse à développement intra cavitaire qui se développe à partir des restes de tissu mésenchymateux embryonnaire. Ceci se fait le plus souvent au niveau du septum inter atrial expliquant la nette prédominance des myxomes de l’oreillette gauche (1).
C’est une pathologie rare en cardiologie. Elle représente néanmoins 50% des tumeurs cardiopéricardiques (2,3). Sa fréquence est de 0,5 cas par millions d’habitants par an (2). Amine et al en 2016 ont rapporté une fréquence intra hospitalière de 3,5% des patients opérés dans le service de chirurgie cardiovasculaire du CHU Hassan II de Fès au Maroc (4).
Le myxome peut siéger dans les oreillettes, les ventricules ou plus rarement sur la valve mitrale avec une nette prédilection pour l’oreillette gauche (5,6). L’implantation se fait essentiellement sur le septum inter atrial, la localisation mitrale étant très rare (7).
Sa découverte est le plus souvent fortuite (8–10). Lorsqu’elle est symptomatique, la présentation clinique est variable et non spécifique ; elle peut se révéler par des signes d’insuffisance cardiaque ou de complications thromboemboliques (4). Raicea et al en Roumanie et Ndirahisha et al au Burundi ont décrit des cas de myxome révélés par un accident vasculaire cérébral et une insuffisance cardiaque (2,11).
Le diagnostic positif se fait par l’échocardiographie. Le diagnostic histologique ne se fait qu’à l’examen anatomopathologique.
La prise en charge chirurgicale de cette affection a amélioré son pronostic (4).
Nous rapportons trois (03) cas cliniques de myxome de l’oreillette gauche pris en charge dans notre service et discutons de leurs aspects diagnostiques, thérapeutiques avec une revue de la littérature. Le consentement de ces trois patients a été obtenu pour cette publication. Les identités de ces patients ne seront pas révélées.
PRESENTATION DES CAS
Cas clinique 1
Patiente âgée de 55 ans sans aucun facteur de risque cardiovasculaire qui a présenté une dyspnée d’effort et des palpitations évoluant depuis un an.
L’examen physique retrouvait un souffle d’insuffisance mitrale d’intensité 3/6ème sans signe d’insuffisance cardiaque.
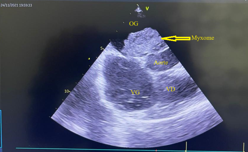
L’électrocardiogramme s’inscrivait en rythme sinusal régulier avec une fréquence cardiaque à 74bpm. L’échocardiographie transthoracique a mis en évidence une volumineuse masse intra-atriale gauche mesurant 57mm x 42mm appendue au septum inter atrial, avec dilatation de l’oreillette gauche et de l’anneau mitral associée à une insuffisance mitrale sévère grade 4/4. Le diagnostic retenu était un probable myxome de l’oreillette gauche compliqué d’insuffisance mitrale sévère. Les caractéristiques de cette masse ont été confirmées à l’échographie cardiaque transœsophagienne (figure 1). La fonction systolique du ventricule gauche était préservée avec une dysfonction diastolique grade 2. Les pressions de remplissage du ventricule gauche étaient normales. Le bilan biologique n’avait noté aucune anomalie.
Elle a bénéficié d’une exérèse chirurgicale en monobloc du myxome de l’oreillette gauche. La voie d’abord était une atriotomie gauche parallèle au sillon atrioventriculaire sous circulation extracorporelle (CEC) après une canulation aorto-bicave. En per opératoire on découvre une masse ovoïde appendue au septum inter atrial, mesurant 50mm x 40mm (figure 2). Le temps de circulation extracorporelle (CEC) était de 26 minutes et le temps de clampage était de 16 minutes. L’examen anatomopathologique de la pièce d’exérèse confirme une tumeur bénigne en accord avec un myxome cardiaque. Les suites opératoires ont été marquées par un sepsis à foyer pulmonaire bien jugulé sous antibiothérapie avec une évolution favorable. L’échocardiographie de contrôle post opératoire retrouve une vacuité de l’oreillette gauche qui reste dilatée une persistance d’une insuffisance mitrale excentrée moyenne. A La radiographie pulmonaire réalisée à J4 post opératoire, on notait une silhouette cardiaque normale, une scissurite droite et une discrète condensation basale droite.
Elle fut mise en exéat à J15 post-opératoire.
Cas clinique 2
Patiente âgée de 55 ans sans aucun facteur de risque cardiovasculaire qui a présenté une dyspnée d’effort et des palpitations évoluant depuis un an.
L’examen physique retrouvait un souffle d’insuffisance mitrale d’intensité 3/6ème sans signe d’insuffisance cardiaque.
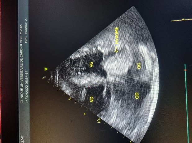
L’électrocardiogramme s’inscrivait en rythme sinusal régulier avec une fréquence cardiaque à 74bpm. L’échocardiographie transthoracique a mis en évidence une volumineuse masse intra-atriale gauche mesurant 57mm x 42mm appendue au septum inter atrial, avec dilatation de l’oreillette gauche et de l’anneau mitral associée à une insuffisance mitrale sévère grade 4/4. Le diagnostic retenu était un probable myxome de l’oreillette gauche compliqué d’insuffisance mitrale sévère. Les caractéristiques de cette masse ont été confirmées à l’échographie cardiaque transœsophagienne (figure 1). La fonction systolique du ventricule gauche était préservée avec une dysfonction diastolique grade 2. Les pressions de remplissage du ventricule gauche étaient normales. Le bilan biologique n’avait noté aucune anomalie.
Elle a bénéficié d’une exérèse chirurgicale en monobloc du myxome de l’oreillette gauche. La voie d’abord était une atriotomie gauche parallèle au sillon atrioventriculaire sous circulation extracorporelle (CEC) après une canulation aorto-bicave. En per opératoire on découvre une masse ovoïde appendue au septum inter atrial, mesurant 50mm x 40mm (figure 2). Le temps de circulation extracorporelle (CEC) était de 26 minutes et le temps de clampage était de 16 minutes. L’examen anatomopathologique de la pièce d’exérèse confirme une tumeur bénigne en accord avec un myxome cardiaque. Les suites opératoires ont été marquées par un sepsis à foyer pulmonaire bien jugulé sous antibiothérapie avec une évolution favorable. L’échocardiographie de contrôle post opératoire retrouve une vacuité de l’oreillette gauche qui reste dilatée une persistance d’une insuffisance mitrale excentrée moyenne. A La radiographie pulmonaire réalisée à J4 post opératoire, on notait une silhouette cardiaque normale, une scissurite droite et une discrète condensation basale droite.
Elle fut mise en exéat à J15 post-opératoire.
Cas clinique 3
Patient âgé de 57 ans admis pour dyspnée stade II de la NYHA évoluant depuis plusieurs mois.
L’évaluation clinique a retrouvé essentiellement une arythmie auscultatoire type extrasystolique et un syndrome métabolique (obésité abdominale, pré hypertension artérielle, pré diabète de type 2, hypocholestérolémie HDL).
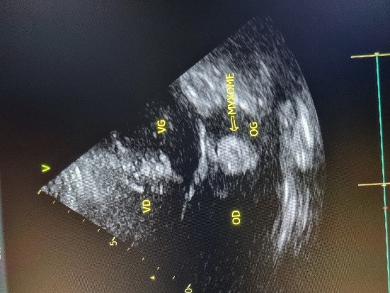
L’électrocardiogramme notait un rythme sinusal régulier avec une fréquence cardiaque à 83 bpm, des anomalies de la repolarisation en antéro septal à type d’ondes T biphasiques et en inférieur à type d’ondes T négatives asymétriques. La biologie était normale. L’échocardiographie (transthoracique et transœsophagienne) retrouvait les mêmes caractéristiques avec une masse appendue à la face atriale de la grande valve mitrale, obstruant partiellement l’orifice mitral et mesurant 49mm ×27 mm. Elle faisait protrusion dans le ventricule gauche en diastole (Figures 5 et 6). Cette masse était évocatrice d’un myxome de l’oreillette gauche. Le ventricule gauche n’était pas dilaté (DTDVG= 46mm), avec une fraction d’éjection systolique à 74% au Simpson biplan. Les pressions de remplissage du ventricule gauche étaient élevées. L’oreillette gauche était dilatée (VOG= 43mL/m²). Les cavités droites n’étaient pas dilatées. La fonction ventriculaire droite était normale (TAPSE= 24mm). On notait une hypertension pulmonaire avec PAPS =75mmHg, VmaxIT= 4,18 m/s. La veine cave inférieure était fine et compliante.
En per opératoire, on retrouve un myxome d’aspect gélatineux confirmé à l’examen anatomopathologique. Il avait également bénéficié d’une plastie mitrale. L’aspect macroscopique de la pièce opératoire est présenté à la figure 7. Les suites opératoires ont été marquées par une atélectasie pulmonaire au 3è jour post-opératoire ayant régressé sous oxygénothérapie associée à une ventilation non invasive. Sur le plan électrique, il a présenté à J9 post opératoire une hyperexcitabilité supraventriculaire importante faite de plusieurs extrasystoles atriales isolées et six triplets.
Il fut mis en exéat à J30 post-opératoire après des séances de réadaptation cardiaque.
DISCUSSION
Le myxome est de loin la plus fréquente des tumeurs cardiopéricardiques primitives bénignes et se localise à 91 % des cas dans l’OG (2). Il est néanmoins une pathologie cardiaque rare. Messouak et al. ont rapporté une fréquence de 0.02% de l’ensemble des affections cardiaque du CHU Hassan II au Maroc en 2011 (12). Sur deux ans, en 2021 et 2022, nous avons recensés 03 cas de myxome de l’oreillette gauche à la Clinique Universitaire de Cardiologie du CNHU-HKM de Cotonou. Parmi les trois cas rapportés dans notre étude, deux patients étaient de sexe masculin. Ceci contraste avec les données de la littérature. En effet , Majdoub et al ainsi que Muthubaskaran et al avaient retrouvé une prédominance féminine (4,13). Cette différence pourrait s’expliquer par le petit effectif de notre série comparativement aux autres. L’âge des patients se situait entre 54 et 60 ans. Cela est en conformité aux données de la littérature où le myxome est constaté dans la tranche d’âge de 30 à 60 ans (4,14).
En ce qui concerne la présentation clinique, tous les patients de notre série étaient symptomatiques. La dyspnée était le principal symptôme observé. Hermann et al en Côte d’ivoire ont rapporté la dyspnée comme maître symptôme chez 78% des patients (15). En effet, les tumeurs cardiaques intracavitaires peuvent causer une obstruction du remplissage ventriculaire ou de la voie de chasse, ainsi qu’une régurgitation valvulaire pouvant entraîner finalement une insuffisance cardiaque congestive ou une altération du débit cardiaque (16). Aussi, des palpitations peuvent être retrouvées comme chez le cas n°1. Ces palpitations pourraient être en rapport avec des complications rythmiques du myxome notamment une fibrillation atriale ou un flutter atrial lié à une dilatation de l’oreillette (16). En dehors de la dyspnée et des palpitations, d’autres signes peuvent être décrits. Mfopou et al ont décrit un cas de myxome de l’oreillette gauche révélé par une lipothymie et une douleur angineuse (6). En effet, le myxome peut être responsable d’une obstruction de l’orifice mitral dont le mode de révélation clinique est une syncope ou un angor fonctionnel (6). Cependant, le cas n°2 a été découvert par une complication embolique (accident vasculaire cérébral ischémique). Le phénomène embolique dû au myxome cardiaque est une complication fréquente (17–19). Ce phénomène résulte d’une fragmentation ou d’une migration complète de la tumeur qui se produit dans 30 à 40% des cas (17). La plupart de ces emboles tumoraux touchent les artères cérébrales et viscérales. Madjoub et al. ont observé 33,4% de cas d’accidents vasculaires cérébraux ischémiques et 22,3% de fibrillation atriale liés au myxome de l’oreillette gauche (4). Zizi et al. ont exposé le cas d’un patient ayant présenté une ischémie aigue des membres ainsi qu’une occlusion de l’aorte abdominale secondaires au myxome de l’oreillette gauche (3). Ces complications emboliques seraient secondaires à une fragmentation du myxome ou des caillots sanguins se formant à sa surface qui vont se détacher(20).
En ce qui concerne l’examen cardiovasculaire, il peut varier d’un patient à un autre. Dans notre série, il était normal chez un patient mais on retrouvait un souffle d’insuffisance mitrale et une arythmie auscultatoire chez les deux autres patients. Il n’existe donc pas de signe physique pathognomonique chez un porteur de myxome. Les complications bien que graves ne sont pas spécifiques du myxome et la découverte est souvent fortuite au cours d’une échographie cardiaque transthoracique (8–10).
L’échocardiographie transthoracique joue un rôle majeur en permettant de décrire le siège, la taille, la base d’insertion et la mobilité de la tumeur cardiaque. Elle a permis de poser le diagnostic de tumeur intracardiaque avec suspicion d’un myxome de l’oreillette gauche chez les trois patients. Les rapports anatomiques de la tumeur décrits sont les mêmes que ceux retrouvés en per opératoire. Elle permet également de décrire les retentissements du myxome ; il s’agit le plus souvent d’une dilatation de l’oreillette gauche comme observé dans les cas 1 et 3. Cette dilatation est en rapport avec une élévation de la pression intra atriale pouvant être responsable d’une hypertension pulmonaire post capillaire expliquant la dyspnée (19). Il n’existe généralement pas de retentissement sur le ventricule gauche sauf si une insuffisance mitrale y est associée (20).
En ce qui concerne la localisation du myxome, le septum inter atrial était la localisation des cas n° 1 et 2 ; et la face atriale de la grande valve mitrale pour le cas n°3. Le siège de prédilection de la base d’implantation du myxome de l’oreillette gauche, est au niveau du septum inter atrial, au niveau de la fosse ovale ou de ses bords. Lorsque l’insertion n’est pas septale, elle se fait par ordre décroissant sur les faces postérieure et antérieure de l’oreillette gauche ou dans l’auricule gauche(5). Ces résultats concordent avec les données de la littérature où plusieurs auteurs avaient retrouvé des localisations prédominantes à gauche (4,5,21). Cependant Muthubaskaran et al rapportaient dans leur série de 32 patients, un myxome dans l’oreillette droite chez 22,2% des patients (13). Dans la littérature, le myxome est retrouvé dans l’oreillette droite dans 15 à 20% des cas (14).
Le myxome cardiaque est une tumeur histologiquement bénigne à composante gélatineuse friable issue du reliquat embryonnaire des cellules mésenchymateuses séquestrées dans la fosse ovale du septum inter atrial. Cela explique la forte prédominance de son site d’implantation au niveau septale (4).
Sur le plan histologique, l’examen anatomopathologique des pièces opératoires de notre série confirme la tumeur bénigne gélatineuse avec un aspect évocateur de myxome cardiaque. Wauthy en 2020, a décrit 04 aspects macroscopiques du myxome à savoir la forme myxoide et gélatineuse à l’origine des complications emboliques ; la forme lisse et lobulée responsable d’enclavement au niveau de la valve mitrale ; la forme friable et irrégulière qui est à haut risque embolique puis la forme calcifiée (22).
La forme gélatineuse retrouvée chez nos patients expliquerait en partie, la complication embolique à type d’accident vasculaire ischémique survenu chez le patient 2.
Les données que nous avons relatées dans cette série de cas ne permettent pas malheureusement pas de généraliser nos observations à la population générale béninoise. La rareté des cas de myxome ne permettra pas certainement d’atteindre un nombre important de cas à l’échelle nationale. Une mutualisation de toutes les données sous régionale sur le myxome pourrait mettre une meilleure description de cette affection en Afrique.
CONCLUSION
Le myxome est la tumeur cardiaque primitive la plus fréquente. Il se caractérise par un polymorphisme clinique dont la dyspnée est assez souvent au premier plan. Le diagnostic est facile ; il est suspecté à l’échocardiographie et confirmé par un examen anatomopathologique. En absence de prise en charge adéquate, l’évolution peut être émaillée par de nombreuses complications parmi lesquelles les migrations d’emboles. L’exérèse chirurgicale, seule option thérapeutique, présente un bon pronostic ; néanmoins la récidive reste possible, justifiant une surveillance échocardiographique.

Figure 1 : Echocardiographie transoesophagienne en bi dimensionnelle incidence bicave montrant un myxome de l’oreillette gauche appendu au septum inter atrial (Cas clinique n°1). OG= oreillette gauche ; OD= oreillette droite

Figure 2: Image macroscopique de la pièce opératoire après exérèse d’un myxome de l’oreillette gauche chez une patiente âgée de 55 ans au Centre National Hospitalier et Universitaire Hubert KOUTOUKOU MAGA (CNHU-HKM) de Cotonou en 2021 (Cas clinique n°1).

(a)

(b)
Figure 3 (a et b) : Echocardiographie transthoracique en mode bi dimensionnel montrant le myxome de l’oreillette gauche appendu au septum inter atrial vu en mode 4 cavités (a) et 2 cavités (b) chez un patient de 54 ans (Cas clinique n°2). VG= ventricule gauche; OG= oreillette gauche; OD= oreillette droite ; VD= ventricule droit.

(a)

(b)
Figure 4 (a et b): Echocardiographie transoesophagienne en bi dimensionnelle, incidence 4 cavités plan oblique à 135° montrant un myxome appendu au septum inter atrial (Cas clinique n°2). VG= ventricule gauche ; OG= oreillette gauche ; VD= ventricule droit.

(a)

(b)

(c)
Figure 5 (a, b et c): Echocardiographie transthoracique en mode bi dimensionnel montrant un large myxome de l’oreillette gauche appendu à la face atriale de la grande valve mitrale faisant protrusion dans le ventricule gauche en diastole vu en incidence apicale 4 cavités (a et b) et 2 cavités avec doppler couleur notifiant une insuffisance mitrale (c) chez un patient de 57 ans. (Cas clinique n° 3). VG= ventricule gauche ; OG= oreillette gauche ; OD= oreillette droite ; VD= ventricule droit

Figure 6: Echocardiographie transoesophagienne en bi dimensionnelle, incidence 4 cavités vue bi-commissurale montrant un myxome appendu à la face atriale de la grande valve mitrale et faisant protrusion dans le ventricule gauche en diastole (Cas clinique n°3). VG= ventricule gauche ; OG= oreillette gauche.

Figure 7 : Image macroscopique de la pièce opératoire après exérèse d’un myxome d’aspect gélatineux de l’oreillette gauche chez un patient âgé de 57 ans au Centre National Hospitalier et Universitaire Hubert KOUTOUKOU MAGA (CNHU-HKM) de Cotonou en 2022 (Cas clinique n°3).
|
REFERENCES |
|
1. Unité de Cardiologie et de Chirurgie Cardiaque Jacques Cartier. Les tumeurs du cœur [En ligne]. Disponible sur : http://www.chirurgiecardiaquejacquescartier.com/les-tumeurs-du-coeur/. Consulté le 09 août 2023. 2. Ndirahisha E, Baransaka E, Nyanwi J, Nyandwi R, Barasukana P, Manirakiza S, Ndabashinze P. Un myxome de l’oreillette gauche révélé par une insuffisance cardiaque : A propos d’un cas. Bull Med Owendo. 2020; 18(48): 62-4. 3. Zizi O, Benfor B, Jiber H, Bouarhroum A, Benlamkaddem S, Kanjaa N. Myxome de l’oreillette gauche compliqué par une occlusion aortique aiguë (À propos d’un cas). Ann Cardiol Angeiol (Paris) [Internet]. 2017;66(2):116–8. Available from: http://dx.doi.org/10.1016/j.ancard.2017.01.001 4. Majdoub A, Nouhou KA, Daouda A, Messouak M. Myxomes cardiaques : à propos de 18 cas opérés. 2017;1–8. Available from: http://journal.sfctcv.org/ 2017/09/myxomes-cardiaques-a- propos-de-18-cas-operes/ 5. Cottini M, Pergolini A, Zampi G, Buffa V, Pino PG, Polizzi V, et al. Hinterwand als atypische Lokalisation eines linksatrialen Myxoms: Diagnose und Management. Herz. 2017;42(4):390–4. 6. Mfopou EY,Ndobo P, Ngouagna FD, Mbouembouo OP. Myxome géant de l'oreillette gauche appendu à la valve mitrale hyper mobile symptomatique: à propos d'un cas. Pan Afr Med J. 2012; 13:21. 7. Przywara-Chowaniec B, Czarnecki Ł, Nowalny-Kozielska E, Gawlikowski M, Opara M, Puzio A, et al. Left atrial myxoma in a patient with a biventricular pacemaker. Kardiochirurgia i Torakochirurgia Pol. 2016;13(4):383–5. 8. Majdoub A, Daouda A, Kaled AN, Boulmakoul S, Messouak M. Myxome de la valve aortique: Rapport d’un cas et revue de la littérature. Sang Thromb Vaiss. 2017;29(1):30–3. 9. Lakehal R, Bendjaballah S, Aimer F, Rakouk C, Bouharagua R, Boukarroucha R, et al. Biatrial cardiac myxoma. A case report. Batna J Med Sci. 2017;4(1):127–9. 10. Elouakili I, Elbekkali Y, Boulahya A. Prise en charge chirurgicale des myxomes cardiaques A propos de 13 cas Matériels et méthodes Résultats. 2008;(figure 1):2–5. 11. Raicea VC, Suciu H, Raicea AD, Macarie GC, Mezei T, Maier MS. Giant left atrial myxoma – literature review and case presentation. Rom J Morphol Embryol. 2021;62(2):361–8. 12. Messouak M, Zaam A, Maaroufi M, Lahlou I, Belahsen MF, Messouak O. Myxome cardiaque compliqué d’anévrismes cérébraux et révélé par un accident ischémique cérébral. 2011;167:150–4. 13. Muthubaskaran V, Anitha S, Chandrasekar P, Muralidharan S. Cardiac myxomas - 22 years single center experience. Indian J Thorac Cardiovasc Surg. 2010;26(4):239–42. 14. Bruce CJ. Cardiac tumours: Diagnosis and management. Heart. 2011;97(2):151–60. 15. Yao H, Yao H, Roland N, Ekou A, Anzouan-kacou JB, Souaga A. Les masses cardiaques : caractéristiques épidémiologiques , cliniques et évolutives de 50 cas. 2010;4:1–7. 16. Abramson BL, Freeman MR, Monge JC, Parker T, Pinter A. CARDIOLOGIE Conférences scientifiques. Novembre 2006; Toronto. Toronto; 2006 17. Azghari A, Boukili Y, Boukhbrine MK, Bouayad M, Mekouar A, Idrissi R, et al. Myxome de l’oreillette gauche : une cause rare d’occlusion aiguë de l’aorte. À propos d’un cas et revue de la littérature. J Mal Vasc. 2010;35(1):26–30. 18. Berrada NE, Asfalou I, Raissouni M, Moutakiallah Y, Benyass A. A poly-embolism left atrial myxoma. Pan Afr Med J. 2015;20:336. 19. Anupama K. Tumeurs cardiaques. [En ligne]. Tumeurs cardiaques - Troubles cardiovasculaires - Édition professionnelle du Manuel MSD (msdmanuals.com). Consulté le 13 août 2023. 20. Guy Armstrong. Insuffisance mitrale. [En ligne]. Insuffisance cardiaque - Troubles cardiovasculaires - Édition professionnelle du Manuel MSD (msdmanuals.com). Consulté le 13 août 2023. 21. Vinod N, Rajeswer S, Ram B, Jacob S. Left Atrial Myxoma. QJM Advance Access published October 8, 2013. 2013;2–5. 22. Riberi A, Gariboldi V, Grisoli D, Collart F. Les tumeurs cardiaques. Rev Pneumol Clin. 2010;66(1):95–103. |

